January 9, 2023
This is a dental restoration procedure which effectively replaces missing teeth and restores your confidence as well. Full arch of teeth can be replaced with all-on-6 dental implants to provide structure and shape to the mouth after losing teeth in one or both the jaws. The prosthetic teeth closely resemble natural teeth and allow one to smile, eat, and chew normally.
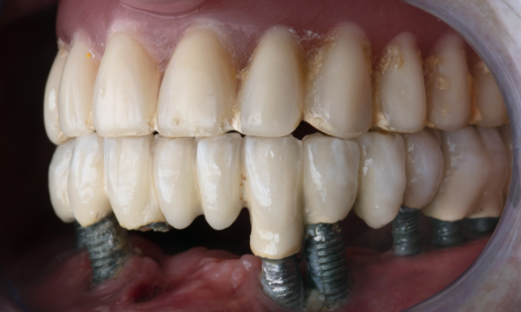
All-on-6 dental implant procedure in Kirkland replaces lost teeth with a permanent prosthesis by placing six dental implants. These implants act as an anchor to which prosthetic teeth are fixed. This may be used for the upper jawbone or the lower jawbone or both.
Procedure
Before the main procedure, there will be a detailed examination which will include X-rays or CT scans. In the same visit, the dentist will take impressions on your mouth to design customized implants and prosthesis.
In the next visit, you will be given anesthesia and you will undergo the surgery for the implants. IV sedation or local anesthesia may be given alone or in combination to make you comfortable and to make the surgery pain-free. Using surgical equipment, holes will be drilled in the area of most bone to place the implants. You will be given a temporary denture till healing takes place. This denture needs a little extra care but will function normally.
After a few months, when the healing is complete and the dental implants have integrated with the bone, you will be called for the next visit and permanent prosthetic teeth will be fixed to the implants. These are ready to be used in 24 hours.
You will be caring for your all-on-6 dental implants like your natural teeth. All-on-6 dental implants cleaning is easy and you will follow a normal healthy diet along with standard oral hygiene practices. If you notice any issue, see your dentist soon.
Benefits
- Patients without teeth get a chance to get dental prostheses in a single day with a single procedure or in two visits.
- It is a rapidly healing implant which enables you to eat and speak comfortably again
- This process doesn’t require any additional surgical procedures like bone addition or sinus lift. It is an easy process.
- Compared to traditional dental implant surgeries, this surgery takes very little time.
- When seen in reference to conventional dental implant surgeries, the cost of the procedure is less because the number of implants is also less.
- This application is more convenient in terms of maintenance and cleaning.
- Since this procedure is planned according to specific features based on your appearance, the results are more aesthetic and satisfying.
- It is ideal for patients who are unable to use removable dental prosthesis because of their nausea reflex.
- These implants mimic the real teeth both in feel and appearance
Also Read: DENTAL IMPLANTS AND WHO SHOULD GO FOR IT.
What are the three types of dental implants?
Dental implants can be of three main types-
- Endosteal Implants
This is the most prevalent type of implant used. It is also considered most safe. A healthy jawbone needs to be there so that the posts can fuse well. They are shaped like small screws and are placed deep into the jawbone. They protrude through the gums and replacement teeth are attached to them.
- Subperiosteal implants
These implants sit under the gum on top of the bone rather than being fixed into the jawbone. When the patient does not have enough jawbone for endosteal implants but is not ready for the more complex zygomatic implant or bone grafting, then this Implant is used. A metal frame which has an attached post will be placed under the gum. The healing of the gum takes place around this frame. The prosthetic teeth are attached to the poles coming out of the gums.
- Zygomatic implants
This is used infrequently as it is the most complex type of dental implant. This implant is used for cases where enough jawbone is not present to support other types of dental implants. Here, the implant is placed in the cheekbone instead of the jawbone.
Who needs and who can get all-on-6 dental implants?
Those people who have lost multiple teeth, those who have sufficient jawbone volume and strength, and who do not have any systemic disease which can interfere with the procedure and/or healing, can get this implant.
You can get this implant if
- You have sufficient bone strength and structure on the jawbone in the intermediate area of small molar teeth
- Extraction sockets can be properly cleaned after tooth extraction
- You have adequate bone support along with high bone density
- Your oral health is good
- The dentist has the equipment and facility for temporary fixed prosthesis
- You are healthy enough to be considered fit for oral surgery
What is the usual recovery time for all-on-6 dental implants?
Initial healing will take a week to ten days. You will have some pain and sensitivity in your gums after the procedure which settles down in a week or so. You should eat soft foods which are not spicy and are at a comfortable temperature. Over the counter painkillers can help.
Complete healing and integration of the implant with the bone will take anywhere between 4-6 months with good care. This process is called osseointegration. But you will be able to function normally during this period.
What is the cost of all-on-6 dental implants?
Predicting an exact cost for all on four dental implants or for all on 6 dental implants is very difficult. An individual has to be examined. Some may need X-rays while some may require costlier CT scans. The type of implant, anesthesia, brand of implants, patient’s oral health, etc impact the costs. The cost of treatment also depends on your area and coverage provided by your insurance company. For the cheapest all-on-6 dental implants in Kirkland, book an appointment now to get detailed information on treatment costs including examination, implants, permanent prosthesis, anesthesia, and visits.
All-on-4 dental implants in Kirkland
You can get these implants from our specialists for the best results and for uneventful rapid healing. All-on-4 dental implants are also long-lasting solutions for arch restoration. They prevent bone atrophy and maintain the jawbone strength. There is use of four implants to replace the upper or lower set of teeth.
FAQs
- Which oral site has the highest implant failure rate?
Studies have shown that the maxillary anterior region has the highest implant failure rate. This area is the region and teeth from the right to the left first premolars. This is the area of the front teeth.
- What are the all-on 6 dental implants problems?
The problems encountered with these implants are rare when you see an expert for your treatment.
The most common issues are
- Infection, bleeding, delayed or poor healing after surgery. Your overall health or health issues also impact healing.
- One of the risks of getting dental implants is the risk of sinus damage. Since the upper jaw is right under the nasal sinuses, there is risk of the sinus getting penetrated by the dental implants. This can cause a lot of discomfort and only your dentist will be able to handle the situation.
- Some people are not good candidates for all on four or all on six dental implants. Pregnant women, diabetics or people with some other chronic health issues are not good candidates.
- Nerve damage can be one complication but it is rare.
- Discoloration of permanent prosthesis may be there.
- Nearby muscles can be easily fatigued.
- Rarely, there may be failure of the implant to integrate with the bone.
- In some cases, the surrounding teeth may get affected by the implant surgery. If the surrounding teeth are weak due to decay or root damage, they may further deteriorate after the dental implant surgery.
Make sure to discuss all these risks with your dentist before you go for dental implant surgery.
You can reach out to us at Kirkland Premier Dentistry to get the answer to all your questions regarding dental implants.

