Invisalign in
Kirkland, WA
Achieve the straight, confident smile you deserve — without metal braces. See real results from real patients treated right here at Kirkland Premier Dentistry.

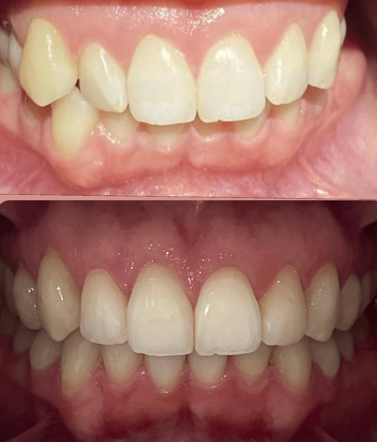
Real patient result — Invisalign + cosmetic restoration
6-18
Months Avg Treatment
22
Hours/Day Wear Time
100%
Removable & Discreet
iTero
Digital 3D Scanning
Smile Transformations From Our Kirkland Office
Drag the slider to see the transformation. Every result below is from a real patient treated at Kirkland Premier Dentistry.


Invisalign + Restorative — 8 months


Invisalign + Cosmetic Restoration


Invisalign + Restorative Dentistry
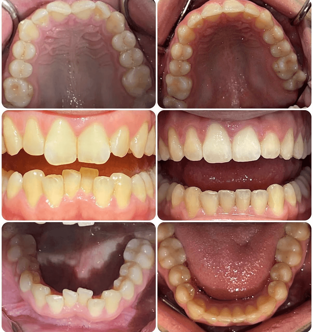
Teeth Alignment Results
Before (left) and after (right) — multiple angles showing the precision of Invisalign treatment.

“Kirkland Premier Dentistry have been outstanding for both my wife and myself. The dental procedures, including a Crown and Invisaline, have been perfect. Keep up the great work!”
Scot Walker — Invisalign & Crowns
How Invisalign Works
Digital Scan
We capture a precise 3D model of your teeth using our iTero scanner — no messy impressions. You'll see a preview of your new smile on screen.
Custom Aligners
Your clear aligners are custom-manufactured to fit your teeth perfectly. Each set moves your teeth a fraction of a millimeter closer to their final position.
Wear & Switch
Wear each set of aligners for 1-2 weeks, 20-22 hours per day. Remove them only to eat, brush, and floss. Switch to the next set on schedule.
Reveal Your Smile
In as little as 6 months, your treatment is complete. We'll fit you with a retainer to keep your new smile in place for years to come.
Advantages of Invisalign Over Traditional Braces
Nearly Invisible
Clear, BPA-free aligners that are virtually undetectable. Perfect for professionals, teens, and anyone who prefers a low-profile solution.
Eat Whatever You Want
Remove your aligners to eat — no food restrictions. Brush and floss normally for better oral health throughout treatment.
Fewer Office Visits
Checkups every 6-8 weeks instead of monthly adjustments. Less time away from work and more convenience for busy families.
Predictable & Comfortable
SmartTrack material applies gentle, consistent force. Most patients find Invisalign significantly more comfortable than metal braces.
Who Is a Candidate?
Invisalign effectively treats a broad range of orthodontic concerns, including mild to moderate crowding, gaps, overbite, underbite, crossbite, and open bite. It works well for teens and adults alike.
The most important factor for success is commitment to wearing the aligners 20-22 hours per day. Patients who follow the plan see the best results and finish on schedule.
Not sure if Invisalign is right for you? Schedule a free consultation and we'll give you an honest assessment.
Frequently Asked Questions
How long does Invisalign treatment take?
Treatment time varies by case, but most adults complete Invisalign in 12 to 18 months. Mild cases such as minor crowding or small gaps may be resolved in as little as six months. During your consultation, we will use digital modeling to estimate your specific timeline.
Is Invisalign as effective as traditional braces?
Invisalign can treat a wide range of orthodontic issues, including crowding, spacing, overbite, underbite, crossbite, and open bite. For many patients, it is equally effective as traditional braces. Severe or complex cases may still benefit from conventional orthodontics, and we will be honest with you about the best option for your situation.
How many hours a day do I need to wear my aligners?
For optimal results, you should wear your aligners 20 to 22 hours per day, removing them only to eat, drink anything other than water, brush, and floss. Consistent wear ensures your teeth move according to plan and your treatment stays on schedule.
Will Invisalign affect my speech?
Some patients notice a slight lisp during the first day or two with a new set of aligners. This is temporary and typically resolves quickly as your tongue adjusts. Most people around you will not notice any change in your speech at all.
How much does Invisalign cost in Kirkland?
The cost of Invisalign varies depending on the complexity of your case and the number of aligners needed. Many dental insurance plans cover Invisalign the same way they cover traditional braces. We also offer flexible payment plans to make treatment affordable. Schedule a consultation for a personalized estimate.
Ready to Get Started?
Schedule your appointment today and take the first step toward a healthier, more beautiful smile.